Smile Gallery
Dental Crowns Treatment
The patient had breakdown on his bottom teeth from grinding. We placed Zirconia crowns to improve the esthetics and function of the teeth.
Dental Crowns Treatment
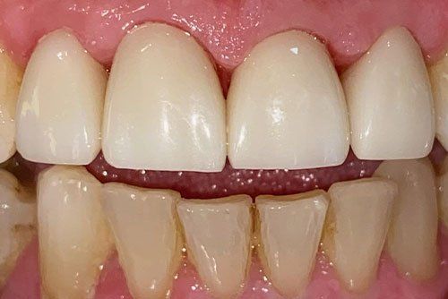
This patient had some breakage and wear on their front teeth. We wanted to reinforce those teeth to keep them healthy for the long haul as well as rejuvenate their smile at the same time. The patient was thrilled with the results!
Dental Crowns Treatment
Ryan came to us with decay and breakage of his front teeth. We were able to restore and brighten up his smile! He left our office a new man! Ryan had no idea the results would be so dramatically different. He was thrilled with his brighter, healthier smile! Thank you Ryan for allowing us to take care of you!
Dental Implants Treatment
This patient had lost 3 of their front teeth from trauma. We were able to restore their smile with 3 dental implants.
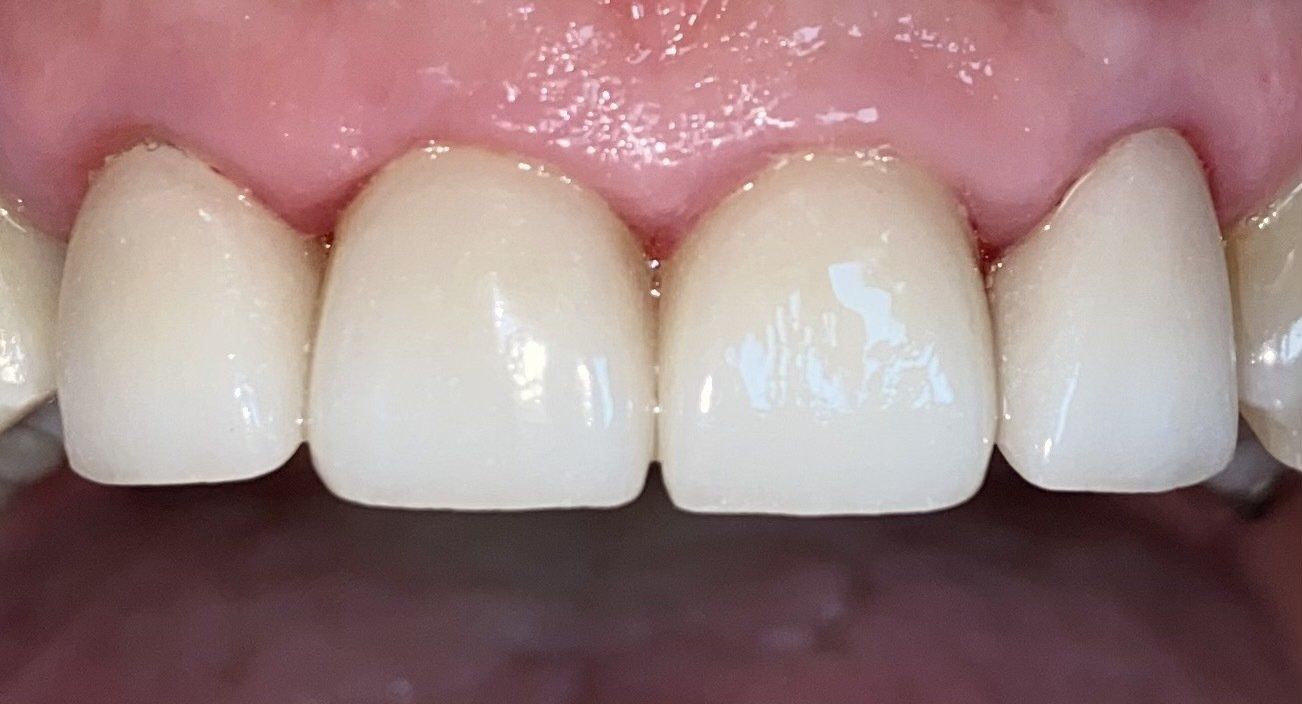
Dental Crowns Treatment
This patient was in need of crowns. We were able to rejuvenate their smile with a set of crowns
Dental Bridges Treatment
After Results
Penelope had trauma years ago and her old bridge was failing and so were some of her supporting teeth. We removed the failing old bridge and replace it with a 6 tooth bridge at the top.
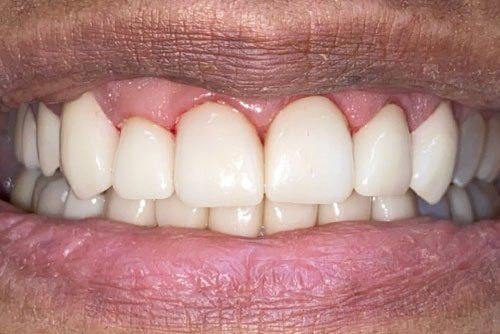
Dental Crowns Treatment
Dental Crowns Treatment
After Results
Joshua had broken down teeth that needed crowns. He wanted to renew his smile along with fixing his teeth!
Dental Implants & Implant Dentures Treatment
After Results
Hazel had spent years dealing with failing teeth and dental work. She came to us from out of state and while partnering with a local oral surgeon, we came up with a plan. We took out all of her upper and lower teeth, placed four dental implants in each of the upper and lower arches, and made dentures that screw in. They are so lifelike and natural, made out of ceramic, and allow her to eat whatever she wants! She is so happy and we’re happy for her!
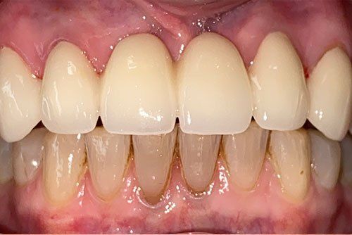
Dental Crowns Treatment
After Results
Samantha was unhappy with her smile. She didn’t like the spaces in between her teeth, so we did a smile makeover. We did crowns and veneers on the front four. She was over the moon when she saw the final product!





























